Магнитно-резонансная томография органов малого таза (прямой кишки)
Аппарат Siemens Magnetom Skyra 3T
Время выполнения 40 мин
Допустимый вес до 150кг

Рак прямой кишки относится к наиболее распространенным опухолевым заболеваниям: по статистическим данным, он составляет 3—5% от всех раковых поражений и около 70% в структуре поражений толстого кишечника.

Магнитно-резонансная томография не является методом выбора для первичной диагностики рака прямой кишки, но в ряде случаев является незаменимым помощником лечащему врачу. Оценка распространенности опухолевого процесса, выбор тактики лечения онкологического пациента, принятие решения о целесообразности и объеме оперативного вмешательства - те ситуации, когда МРТ НЕОБХОДИМА. Кроме того метод показан для контроля и оценки результатов лечения: хирургического, лучевого, химиотерапии; а также для определения дальнейшей тактики ведения пациента.

Возможности МРТ в диагностике рака прямой кишки:

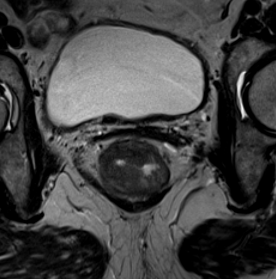
  • Визуализация опухоли, определение ее верхней и нижней границ, а также степени вовлечения в процесс кишечной стенки;
  • Определение степени бокового распространения опухоли относительно стенки кишки, мезоректума и собственной фасции;
  • Определение отношения опухоли к структурам тазового дна и сфинктерному аппарату;
  • Определение состояния мышц тазового дна;
  • Выявление и оценка состояния лимфатических узлов и лимфооттока в области малого таза;
  • Контроль результатов хирургического лечения, лучевой терапии и химиотерапии; динамика.

 

 
 

Исходя из вышесказанного, на современном этапе развития медицины, МРТ прямой кишки является "ЗОЛОТЫМ СТАНДАРТОМ" при обследовании и дальнейшем ведении пациентов с диагнозом опухолевого поражения прямой кишки.

5%
  • пенсионерам по возрасту;
  • ветеранам боевых действий;
  • участникам ликвидации последствий катастрофы на Чернобыльской АЭС;
  • инвалидам I группы;
  • детям-инвалидам.
10%
  • ветеранам Великой Отечественно войны;
  • лицам, награждённым знаком «Жителю блокадного Ленинграда»;
  • действующим врачам, фельдшерам, медицинским сестрам.

Все скидки подтверждаются соответствующими документами. Скидки по всем видам не суммируются. Скидки не распространяются на контрастное вещество и дополнительные услуги. Подробнее по ссылке

План визита

Исследования производятся по предварительной записи. Записаться Вы можете по телефону.

Обратите внимание!

Тоннель магнита представляет собой трубу длиной 2 метра диаметром 55см. Пациенты с габаритами, превышающими диаметр трубы, не могут обследоваться на закрытом томографе. Вы можете посетить наш центр перед записью, чтобы убедиться в том, что ограничения по размеру или клаустрофобия не помешают вашему исследованию. Если вы не можете долго сохранять неподвижность или страдаете клаустрофобией, пожалуйста, сообщите об этом при записи.

Если вы не можете долго сохранять неподвижность или страдаете клаустрофобией, пожалуйста, сообщите об этом при записи. Во время записи сообщите оператору перечень интересующих Вас исследований, фамилию, имя, отчество и дату рождения. Впишите дату, время и место исследования в бланк направления, это поможет Вам избежать неожиданностей и позволит посетить центр в зарезервированное для Вас время.

Большинство МР исследований не требует специальной подготовки, то есть Вы можете есть, пить и принимать прописанные лекарства как до, так и сразу после исследования. Наденьте удобную одежду без металлических фрагментов и захватите с собой сменную обувь. Украшения и бижутерию лучше оставьте дома. Перед исследованием не рекомендуется пользоваться косметикой, содержащей частицы металла и металлосодержащими мазями.

 

  1. В течение 1-2 дней прием препарата «Эспумизан» – для устранения повышенного газообразования (по 2 капс.3 раза в сутки, можно с небольшим количеством жидкости, после каждого приема пищи и при необходимости перед сном. В течение 1-2 дней.)
  2. В день проведения процедуры должен быть стул. Клизмы и слабительные запрещены. Допустим – Микролакс утром в день процедуры.
  3. Диета за 3 дня. Исключить из своего рациона следующие продукты: черный и белый хлеб; кисломолочные и молочные продукты; газированные напитки; овощи и фрукты в любом виде, а также соки; кондитерские изделия; жареные, жирные, острые продукты; жирные сорта мяса; алкоголь.
  4. Не курить за 3 часа до процедуры.
  5. 4  часа голода перед исследованием.  В течение дня голодать нельзя!

 

  1. Рекомендуется проведение обследования на 7-12 день менструального цикла, также возможно проведение исследования во вторую фазу цикла. Оно не проводится в период менструаций, рекомендуется заранее подсчитать день цикла, на который придется день обследования.
  2. Для максимально качественного и полного описания полученных результатов врачом необходимо иметь с собой всю имеющуюся медицинскую документацию: послеоперационные выписки, данные (снимки и заключения) предыдущих исследований МРТ, УЗИ, СКТ.
  3. В течение 1-2 дней прием препарата «Эспумизан» – для устранения повышенного газообразования (по 2 капс.3 раза в сутки, можно с небольшим количеством жидкости, после каждого приема пищи и при необходимости перед сном. В течение 1-2 дней.)
  4. В день проведения процедуры должен быть стул.
    Клизмы и слабительные запрещены. Допустим – микролакс утром в день процедуры.
  5. За полтора-два часа до процедуры не мочиться.
    Для проведения процедуры требуется среднее заполнение мочевого пузыря. (Пациент должен хотеть в туалет, но при этом иметь возможность пролежать около часа в томографе.)
  6. Диета за 3 дня. Исключить из своего рациона следующие продукты: черный и белый хлеб; кисломолочные и молочные продукты; газированные напитки; овощи и фрукты в любом виде, а также соки; кондитерские изделия; жареные, жирные, острые продукты; жирные сорта мяса; алкоголь.
  7. Не курить за 3 часа до процедуры.
  8. 4 часа голода перед исследованием. В течение дня голодать нельзя!
  1. Для максимально качественного и полного описания врачом полученных результатов необходимо иметь с собой всю имеющуюся медицинскую документацию: послеоперационные выписки, данные (снимки и заключения) предыдущих исследований МРТ, УЗИ, СКТ, также желательно направление лечащего врача.
  2. В течение 1-2 дней прием препарата «Эспумизан» – для устранения повышенного газообразования (по 2 капс.3 раза в сутки, можно с небольшим количеством жидкости, после каждого приема пищи и при необходимости перед сном. В течение 1-2 дней.)
  3. В день проведения процедуры должен быть стул.
    Клизмы и слабительные запрещены. Допустим – микролакс утром в день процедуры.
  4. За полтора-два часа до процедуры не мочиться.
    Для проведения процедуры требуется среднее заполнение мочевого пузыря. (Пациент должен хотеть в туалет, но при этом иметь возможность пролежать около часа в томографе.)
  5. Диета за 3 дня. Исключить из своего рациона следующие продукты: черный и белый хлеб; кисломолочные и молочные продукты; газированные напитки; овощи и фрукты в любом виде, а также соки; кондитерские изделия; жареные, жирные, острые продукты; жирные сорта мяса; алкоголь.
  6. Не курить за 3 часа до процедуры.
  7. 4 часа голода перед исследованием. В течение дня голодать нельзя!
  1. Подготовка кишечника: при нормальном пищеварении –естесственное опорожнение кишечника в день исследования, при запорах – использование щадящих микроклизм (Микролакс) 
  2. За час до  исследования – опорожнение  мочевого пузыря и дальнейшее исключение употребления жидкости.
  3. За 50 минут до обследования принять 2-3 таблетки «Но-шпа»
  4. При себе необходимо иметь всю медицинскую документацию, относящуюся к данному заболеванию: направление лечащего врача, результаты колоноскопии или ректороманоскопии, послеоперационные выписки, результаты предыдущих МРТ или КТ-исследований
  1. За 7 дней до биопсии прекратить прием антикоагулянтов (аспирин, тромбо-асс, кардиомагнил, варфарин, плавикс, клексан, мареван, прадакса, синкумар, фраксипарин, фрагмин
    и др.)
  2. Ципрофлоксацин 500мг х 2 р/сут. – начать прием за 1 день до биопсии и далее принимать еще 4 дня (всего 5 дней приема).
  3. Метронидазол 250мг х 3 р/сут. – начать прием за 1 день до биопсии и далее принимать еще 4 дня (всего 5 дней приема).
  4. Вечером накануне биопсии и утром в день биопсии – очистительная клизма.
  5. За 2 часа до биопсии не мочиться.
  • Направление
  • Удостоверение личности
  • Результаты проведенных ранее лучевых исследований
  • Медицинскую документацию (заключения специалистов, выписки из истории болезни, амбулаторные карты и т.д.)
  • Документы, подтверждающие право на льготы.
  • Полис добровольного медицинского страхования, если ваше исследование оплачивает страховая компания
  • Схему проезда с транспортом

Вам будет предложено оставить в индивидуальной раздевалке:

  • Предметы и части одежды, содержащие металл (кнопки, заклепки, крючки, молнии, пряжки)
  • Ключи, монеты, брелоки
  • Металлические украшения
  • Часы и мобильные телефоны
  • Магнитные носители (кассеты, дискеты, кредитные карточки)

Обратите внимание!

Во время исследования Вы будете постоянно находиться под наблюдением медицинского персонала. Родственник или близкий Вам человек смогут находиться рядом с Вами в течение всего исследования.Не планируйте неотложных дел на время после исследования. Исследование может занять от 10 минут до часа в зависимости от объема и сложности исследования.

В большинстве случаев вы сможете получить результаты (диск и заключение) в течение 4 часов после окончания исследования, за исключением сложных исследований и случаев, требующих консилиума.

Абсолютные противопоказания к проведению МРТ:

  1. Имплантированные электростимуляторы, например:
    • кардиостимулятор;
    • кардиовертер-дефибриллятор;
    • стимулятор блуждающего нерва (VNS).
  2. Кохлеарные импланты.
  3. Инфузионные насосы, инсулиновые помпы.
  4. Тканевые экспандеры молочной железы.
  5. Искусственные клапаны сердца.
  6. Вспомогательные устройства механического кровообращения.
  7. Кровоостанавливающие клипсы, зажимы, скобы, спирали и фильтры на сосудах головного мозга, магистральных сосудах и в других локализациях.
  8. Массивные ферромагнитные медицинские металлоконструкции, например, аппарат Илизарова.
  9. Инородные предметы в мягких тканях тела, например, осколки, пули или фрагменты пуль, металлическая стружка в области глаз и другие магнитящиеся элементы.
  10. Ферромагнитные импланты и протезы.
  11. Ферромагнитная противозачаточная спираль.
  12. Программируемые шунты.
  13. I-й триместр беременности, если нет направления лечащего врача и разрешения на проведение МРТ.

Список не является исчерпывающим.

Для принятия решения о возможности проведения исследования при наличии металлического медицинского изделия внутри организма обязательно наличие инструкции по эксплуатации, паспорта устройства (ID) или послеоперационной выписки, где указана информация о материале изделия, МР-совместимости и условиях проведения МРТ.

МРТ делать можно

  1. При наличии стента в коронарной артерии.
  2. При наличии биопротезного, транскатетерного или механического клапана сердца.
  3. При наличии непрограммируемого шунта.
  4. Пациентам со стернальными проволочными швами.

Для пунктов 1-4 время ожидания после операции может различаться в зависимости от импланта, рекомендаций конкретного производителя и лечащего врача. Обычно рекомендуемое время – минимум 4-6 недель. Пациенту необходимо обсудить этот вопрос с лечащим врачом.

  1. Пациентам с протезированными суставами и системами металлоостеосинтеза в позвоночнике, если состав импланта неферромагнитный (титан, тантал, кобальт, хром, молибден), наличие выписки о проведенной операции и составе импланта обязательно!
  2. Пациентам с несъемными зубными протезами и другими стоматологическими металлоконструкциями.

В случае расположения импланта в зоне сканирования, есть вероятность получить изображения с артефактами от металла до степени утраты диагностической ценности.

Рекомендуется проводить МРТ на системах 1.5 Тл с опцией WARP (Aera на Есенина, Avanto на Костюшко).

При записи на ЭПИ-2, если в зоне сканирования установлена брекет-система, ретейнеры или другие массивные стоматологические металлоконструкции, пациенту необходимо не менее чем за 2 дня до назначенного исследования пройти пробное сканирование в центре на 6-й Советской, предварительно согласовав время.

Исключения:

Лицензированные медицинские устройства, разрешенные к применению в МР-среде, имеющие маркировку МР-совместимости.

По стандарту МИБС результаты рентгенологических исследований оформляются протоколом на бумажном носителе с регистрацией (записью и выдачей) изображений НА ДИСКЕ. Регистрация (запись) данных исследования на ином носителе (плёнка, USB-флеш-носитель) либо повторная регистрация данных исследования на диске являются самостоятельными медицинскими услугами и оплачиваются дополнительно по установленным ценам (тарифам).

Центры


+7 (812) 244-00-24

ежедневно с 7.00 до 23.00

Центр комплексной диагностики

6-я Советская, дом 24-26/19-21

Онкологическая клиника МИБС

п. Песочный, ул. Карла Маркса, д. 43

Центр протонной терапии

ул. Глухарская, д. 16 корп.2

Центр комплексной диагностики

ул. Есенина, д.2, корпус 3

Нет результатов.